Please ensure Javascript is enabled for purposes of website accessibility
Pay Online
Book an Appointment
603-810-7218
top

TEXT OUR OFFICE

Text message is limited to 160 characters.

HOW IT WORKS
  1. Enter your Name.
  2. Enter your Cell Phone Number, area code first
  3. Enter your text message in the box.
  4. Select which office you want to text.
  5. Click "Send Text"
  6. A copy of this text will be sent to the office and to your cell phone. The office's reply will also be sent to your cell phone where you can continue the text conversation.
Note: Mobile message and data rates from your cell phone carrier may apply.
Path + ShapeCreated with Sketch.

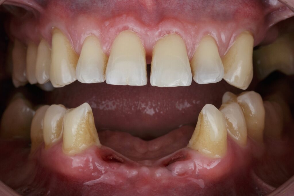
Lost a Tooth? Explore the Best Restoration Options

"*" indicates required fields

This field is for validation purposes and should be left unchanged.

More Content